Project Description
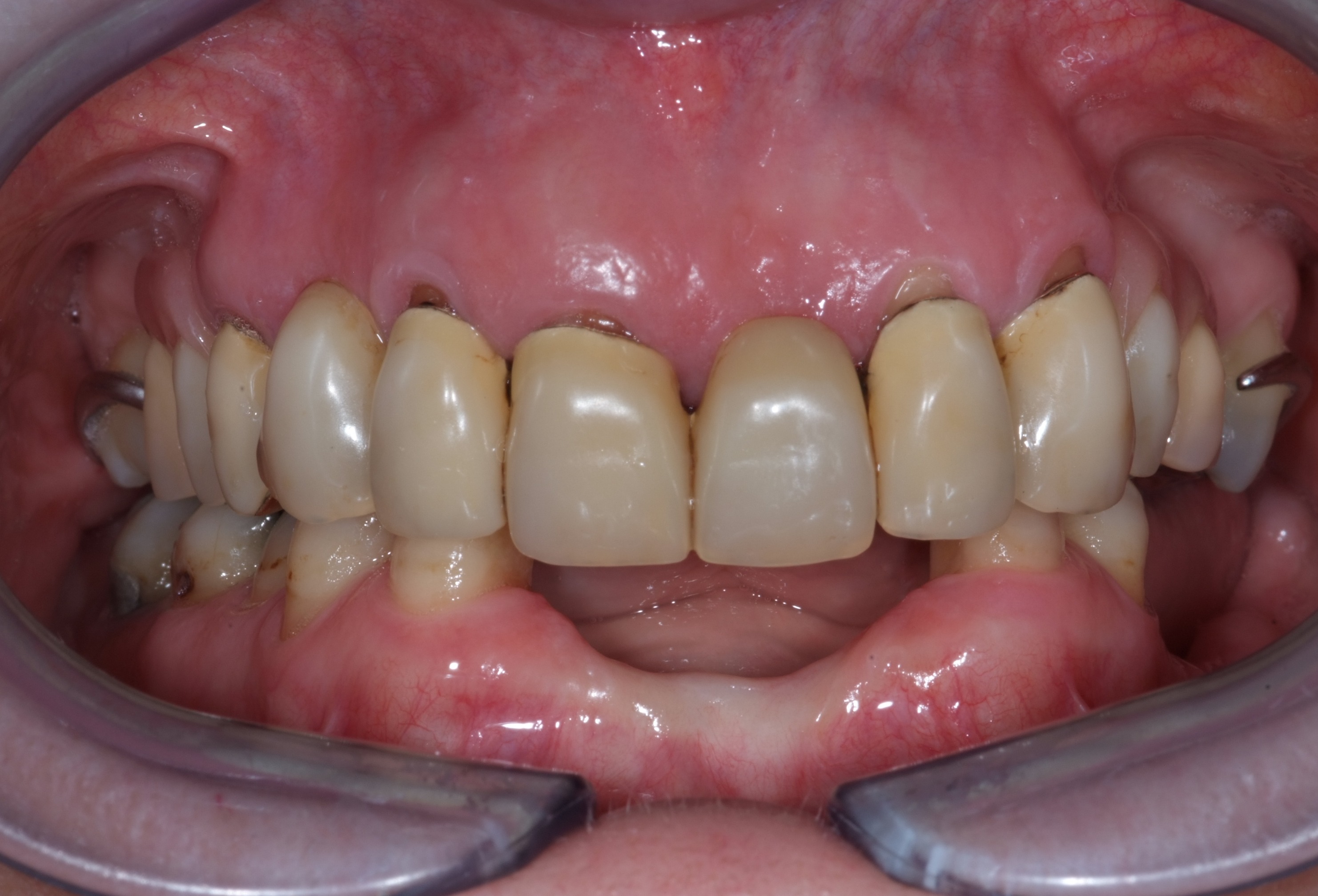
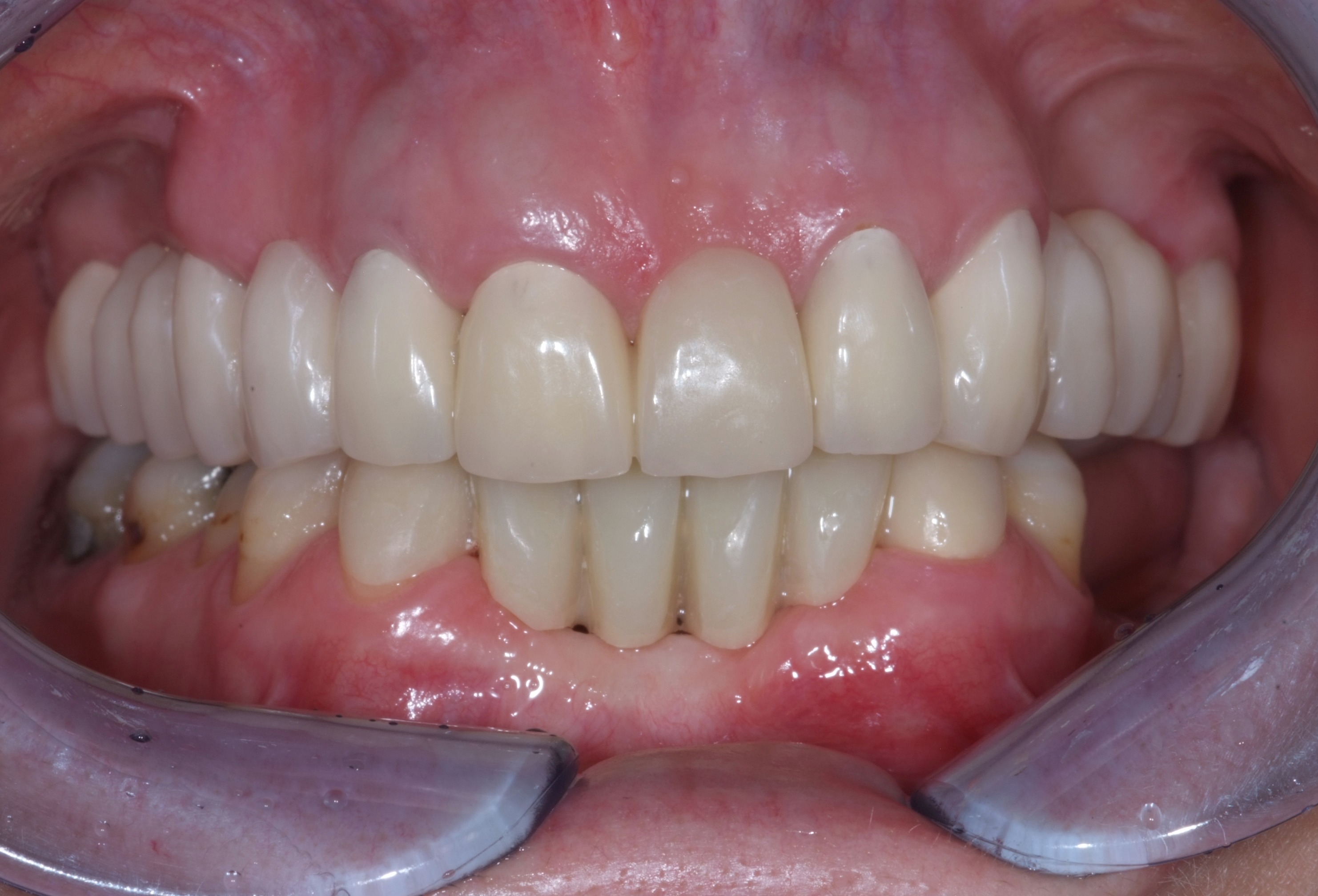
Un problema veramente delicato è il restauro o la ricostruzione degli elementi dentali distrutti o mancanti mediante manufatti prodotti nei laboratori odontotecnici su indicazione e progettazione del medico odontoiatra.
La protesi si divide in due grosse categorie:
La protesi mobile riguarda ogni tipo di apparecchio rimovibile, dalla protesi totale (la dentiera), agli scheletrati (particolari protesi parziali rinforzate da uno “scheletro” di metallo e agganciate ai denti residui), fino alle protesi mobili parziali provvisorie, che vengono di solito utilizzate per la sostituzione immediata di elementi estratti, in attesa della guarigione dei tessuti.
La protesi fissa comprende ogni tipo di restauro o ricostruzione che viene cementato sui denti preparati a moncone dal dentista o su impianti infissi nell’osso.
Può essere prodotta con diversi materiali:
- la resina, che viene confezionata nei colori più simili ai denti naturali, è utilizzata normalmente per i provvisori, cioè per quelle protesi fisse posizionate in bocca per un periodo di tempo limitato, o per motivi diagnostici e di verifica, o per il tempo necessario all’odontotecnico per la produzione degli elementi definitivi;
- l’oro, che viene utilizzato per fondere denti da posizionare in zone della bocca non visibili;
- la ceramica, che ormai ha soppiantato ogni altro materiale usato in passato, costituisce il materiale di scelta principale per qualsiasi tipo di restauro protesico. Viene preparata nel laboratorio odontotecnico su “cappette” fuse in oro (struttura che è ricoperta completamente dalla stessa ceramica), e poi “cotta” in speciali forni ad altissime temperature (attorno ai 1000°C), per conferirle le caratteristiche di estetica, durezza, trasparenza e levigatezza, che la rendono praticamente uguale ai denti naturali.

