Project Description
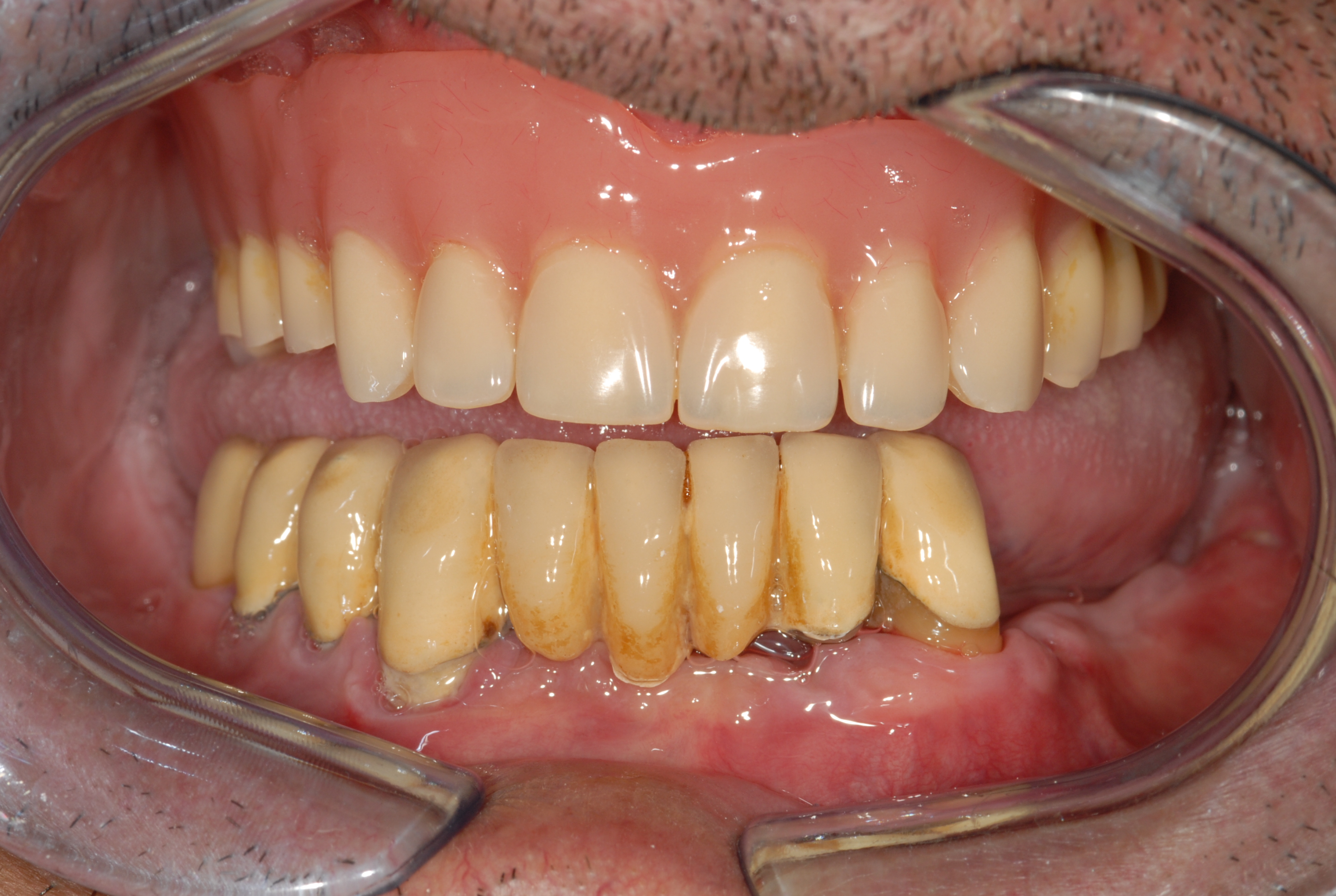
È il ramo più recente della continua ricerca odontoiatrica e ultimamente ha raggiunto livelli di sicurezza, affidabilità e predicibilità di successo nel tempo, da renderla la soluzione ottimale per qualsiasi caso di sostituzione di elementi dentali naturali persi.
Ha ancora dei costi molto elevati per la raffinatezza delle tecniche chirurgiche assai avanzate e per l’assoluta precisione della tecnologia e della componentistica, tuttavia sta diventando sempre più diffusa e praticata come una normale soluzione alternativa.
Consiste nel permettere l’integrazione di un metallo biocompatibile (titanio), in un tessuto umano (osso): si parla, infatti, di implantologia osteointegrata cioè di un vero e proprio legame intimo e stabile tra le cellule ossee e le molecole del titanio, che non consente alcun movimento e che è in grado di sopportare i carichi assai elevati delle forze masticatorie.
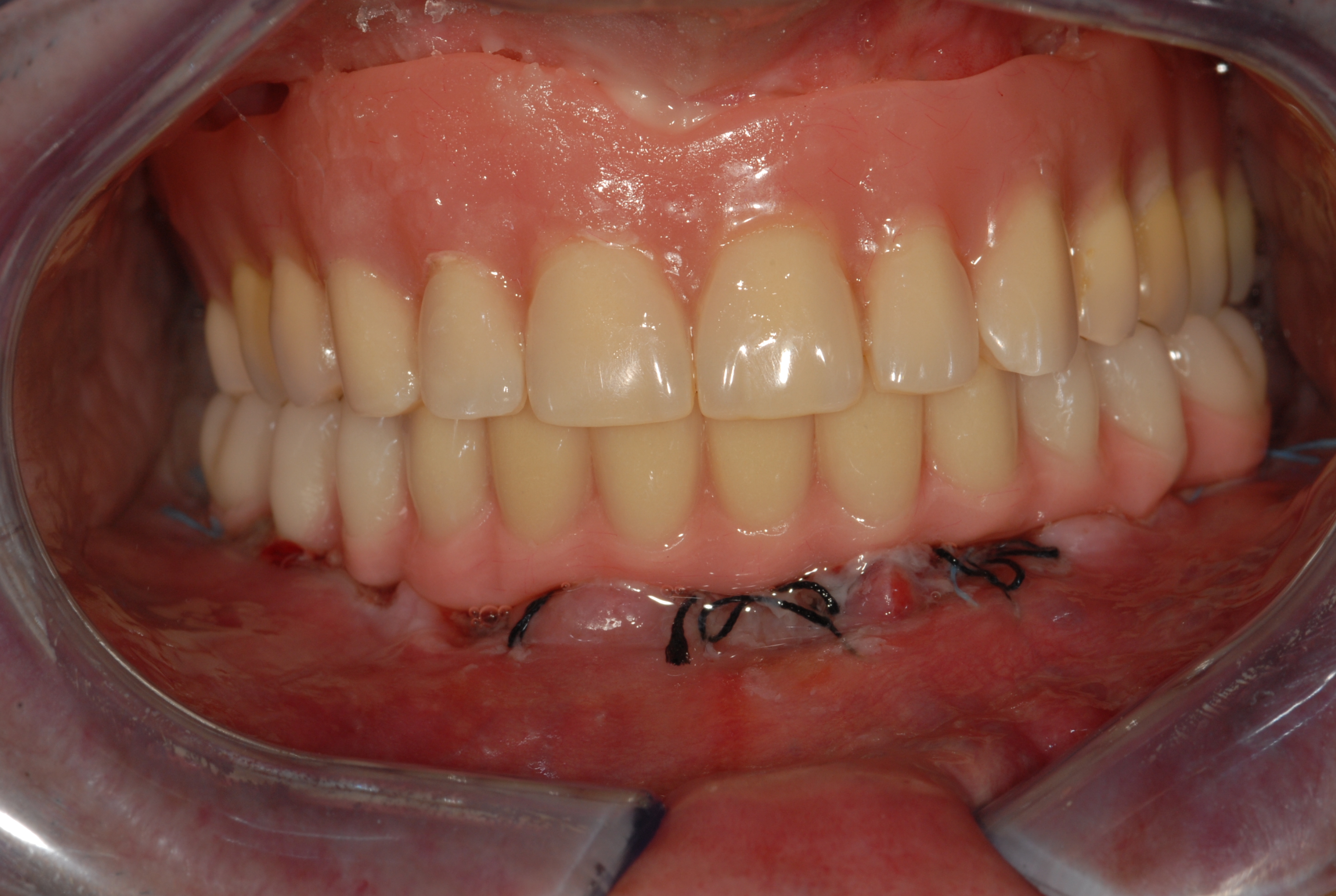
Dopo un’accurata fase diagnostica, si passa alle varie fasi operative: una seduta chirurgica in cui vengono posizionati gli impianti (fixture) completamente sommersi nell’osso e ricoperti dalla gengiva.
Poi un periodo di pausa di 4-6 mesi, per consen-tire l’osteointegrazione, quindi una seconda fase chirurgica per la riapertura e lo scoprimento della “testa” degli impianti e la connessione a questi dei monconi (abutment), cioè dei “perni” che fuoriescono dalla gengiva e sui quali verranno cementate o avvitate le corone di porcellana, esattamente come se fossero monconi di denti naturali.
La ricerca scientifica in continua evoluzione (soprattutto nelle due scuole più autorevoli, cioè quella nordamericana e quella svedese) ha recentemente permesso di utilizzare immediatamente gli impianti: in determinati rari casi è oggi possibile in un’unica seduta posizionare gli impianti nell’osso, avvitarvi i monconi e porre su questi i denti provvisori.

